Съемное протезирование зубов

Вернетесь к полной жизни,
восстановите зубной ряд

Акриловый протез
с металлическими кламмерами

Съемный протез частичный≈ 22500тг
Полный 30000тг

самый доступный вариант

не требует обтачки здоровых зубов

легко снимать и устанавливать

крепления заметы окружающим

протез верхней челюсти может сказаться на дикцию

требуется проверка на совместимость

чувствуется привкус металла

Нейлоновые
протезы

75 000 тг.

недорогие

не вызывает аллергии

не требует обтачки здоровых зубов

заменяет один зуб, группу или всю челюсть

мягкий и удобный

незаметный для окружающих

Бюгельный протез
с аттачменами

135000тг.

надежное крепление

длительный срок службы

удобен и не ощущается во рту

незаметный для окружающих

требует установки металлокерамических коронок с замками

при установке требуется точные движения для попадания в замок

Акриловый протез
с креплением на импантаты

Установка имплантов.
Съемный протез.

надежное крепление

длительный срок службы

легко снимать и устанавливать

требует установки имплантатов с замками

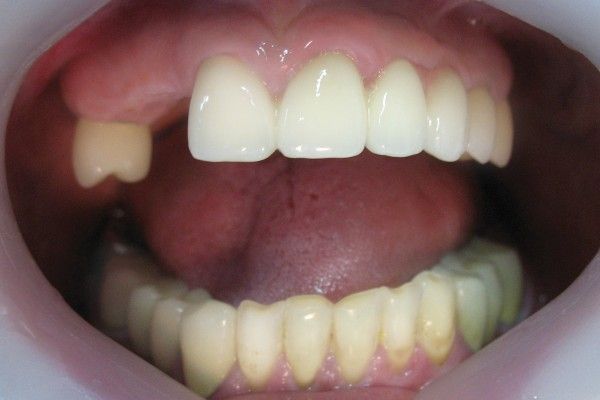
Акриловые полные и частичные зубные протезы


Съемный зубной протез из акрила с креплением на металлических кламмерах


  • сохранение соседних здоровых зубов
  • легкость в установке
  • доступность

Съемный протез крепится к опорным зубам при помощи специальных крючков («кламмеров»).

Доступный и распространенный способ восстановить утраченные зубы. Этот метод протезирования был предложен несколько десятилетий назад и по сей день, благодаря своей доступности, остается востребованным.

По уровню эстетики, комфорта и удобства он уступает нейлоновым протезам и приходящему на смену методу протезирования на имплантатах.


Съёмные зубные протезы из нейлона


Нейлоновые зубные протезы

Съемное протезирование зубов протезами из мягкого нейлона является наиболее удобной технологией восстановления полностью или частично утраченных зубов, поэтому его предлагают пациентам довольно часто.

Оптимальное соотношение цены и качества

Мягкие протезы зубов из нейлона – это перспективное направление современного стоматологического протезирования. Проблемы, которые можно решить при помощи гибкого протеза, весьма разнообразны: начиная от потери нескольких зубов, до полной утраты всех зубов во рту. В первом случае изготавливаются частичные протезы зубов из нейлона, а во втором – полные съемные протезы.

Протезы зубов из нейлона крепятся в ротовой полости незаметными креплениями – кламмерами. Они изготовлены из того же гибкого полупрозрачного материала, что и нейлоновые протезы зубов, поэтому сами конструкции так же малозаметны и эстетичны. Благодаря особенностям строения и крепления мягкие протезы зубов из нейлона удобны для пациента и быстро становятся привычными «зубными» атрибутами.

Гибкие протезы зубов, изготовленные из нейлона, также практичны и легки в уходе даже при ежедневном ношении. Во время примерки и изготовления нейлонового протеза опорные зубы и мягкие ткани не подвергаются травматичной обработке, они предельно точно «садятся» во рту и надежно закрепляются там. Поэтому зубные протезы из нейлона ориентированы на комфортное и длительное ношение.

Почему наши протезы нравятся пациентам

Комфортный и стабильный протез

Это именно то, что Вы от ждете от своего протеза. Точная посадка и стабильная фиксация.

Не требуется обтачивание опорных зубов

Этот методе позволяет сохранить оставшиеся зубы и не требует их предварительного препарирования.

Гигиеничный и легкий в уходе

Материал из которого выполнен протез breflex абсолютно гигроскопичен. Вы заметите, что на нем не задерживается налет, он не впитывает влагу и препятствует развитию патогенной микрофлоры во рту.

Незаметные крепления

Этот тип съемного протеза фиксируется во рту креплением одного цвета с десной. Благодаря этому он незаметен и не обращает на себя внимания.

Не содержит металла

Эластичный протез из нового типа нейлона не содержит металлических элементов. Благодаря этому, если у Вас во рту есть коронки из металлокерамики, Вы не почувствуете ионный обмен.

Особый гипоаллергенный нейлон

Тип нейлона который применен для производства эластичного протеза не содержит остаточного мономера, который присутствует в других видах съемных протезов. Благодаря этому он не вызывает аллергию у тех кто к ней предрасположен.
Этот вид медицинского нейлона абсолютно безвреден.

Бюгельные зубные протезы


Бюгельный протез с аттачменами

Крепится при помощи специальных замков («аттачменов») к металло-керамическим коронкам, которые устанавливаются на опорные зубы.

По сравнению со съемным пластинчатым протезом, бюгельный протез:

  • обладает лучшей фиксацией
  • лучше восстанавливает жевательную функцию
  • более удобен в использовании
  • более гигиеничен
  • более прочен и долговечен
Благодаря такому способу крепления достигаются надежная фиксация протеза и хороший косметический результат — замков не видно, ибо они находятся внутри протеза.

Полный съемный протез на имплантатах


зубной протез с креплением на имплантатах

Съемные протезы с креплением на импланты

Легко и удобно крепится к импантатам при помощи специальных замков («аттачменов»).

Этот съемный протез используется при полном отсутствии зубов на верхней или нижней челюсти. Он состоит из искусственных зубов, расположенных на широкой пластинке, изготовленной из специальной пластмассы, имитирующей цвет и форму десны.

В клинике «Ваш Доктор» изготовление съемных протезов проводится по методике IVOCAP. Такие протезы — легкие, обладают высокой прочностью и хорошими косметическими характеристиками. Искусственные зубы подбираются строго в соответствии с формой и цветом зубов пациента.

Принимающие врачи


Муржанов
Нурлыбек Маликакбарович

Хирург - имплантолог

Ережепова
Лаззат Бахадыровна

Стоматолог - терапевт

Жангирова
Ажар Булаткалиевна

Стоматолог-хирург

Стоимость съемного протезирования (включая работы):

Частичный съемный протез

22500тг

Полный съемный протез

30000тг

Бюгельный протез

75000тг

ОТПРАВЛЯЯ ЛЮБУЮ ФОРМУ НА САЙТЕ, ВЫ СОГЛАШАЕТЕСЬ С ПОЛИТИКОЙ КОНФИДЕНЦИАЛЬНОСТИ