Искренняя и открытая улыбка -
лучшее средство сделать жизнь лучше

Обезоруживающая белоснежная улыбка -
это то, о чем мечтают многие из нас.

Красивая улыбка и белые зубы привлекают внимание,
располагают к нам окружающих людей.

Три вида отбеливания

Профессиональная чистка

Кабинетное отбеливание

Домашнее отбеливание

Здоровая улыбка за 1 визит

Профилактическая процедура по снятию зубных отложений и насыщению зубов кальцием и фосфатом.

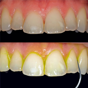
Профессиональная гигиена полости рта

Cнятие зубных отложений

• Бесконтактная ультразвуковая чистка удаляет зубные отложения и  очищает эмаль от налета. Эмаль становится светлее на 2-3 тона до естественного цвета.
• С точки зрения гигиены и эстетики проведение процедуры желательно абсолютно всем примерно раз в год
• Чистка Air Flow займет около 30 минут

NEWTRON® P5 XS BLED

СОХРАНЕНИЕ ЗУБОВ С ПОМОЩЬЮ ПРЕВОСХОДНЫХ УЛЬТРАЗВУКОВЫХ КОЛЕБАНИЙ И ВЫСОКОКАЧЕСТВЕННОЙ СТАЛЬНОЙ НАСАДКИ

Tехнология NEWTRON® — гарантия эффективности и безопасности

• Отличный контроль колебаний и высококачественные насадки обеспечивают более эффективное сохранение тканей, эффективность и комфорт лечения. 
•Лечение, проводимое в реальном времени с технологией B.LED, позволяющей одновременно выявлять и удалять зубной налет.
•Самый большой выбор насадок (80) для огромного клинического опыта и универсальности, поддержка как врачей, так и пациентов.

Насыщение зубов минералами

Укрепление эмали

• Покрытие питающим гелем
• Полировка
• Всего 30 минут, и вы повысили прочность эмали и защитили свои зубы от образования кариеса

Но что делать, если зубы от природы не достаточно белые?

Наша клиника предлагает Вам передовую немецкую технологию  бережного отбеливания от Schutz Dental

Bleach'n Smile

Её основным действующим веществом является пероксид карбамида, аналогичный по действию перекиси водорода, но оказывающий более щадящее воздействие на твёрдые ткани зуба и слизистую оболочку десны.

Укрепление эмали в процессе отбеливания

Кабинетное отбеливание (Boost PF - 35% действующего вещества) проводится в клинике лечащим врачом профессиональным гелем, имеющим в составе достаточно высокую концентрацию пероксида карбамида.

С помощью данного метода зубы приобретают более светлый оттенок на 6-8 тонов.

  • За одно посещение можно провести одну отбеливающую процедуру, длительностью 20-30 минут
  • Уже через час зубы становятся светлее тонов, с их поверхности исчезают пятна и потемнения
  • При правильном уходе белизна зубов сохраняется на протяжении долгих лет

Использование геля  при процедуре отбеливания делает зубы крепче, повышает комфортность и эффективность процедуры.

Специальная формула с нитратом калия и фторидом натрия зубы крепче, помогает избежать повышенной чувствительности.

Определение текущего оттенка эмали для сравнения результатов

нанесение защитного слоя на слизистую дёсен

нанесение специального геля на поверхность зубов

удаление данного средства с поверхности зубов

Кабинет для проведения процедур чистки, отбеливания и минерализации зубов

Домашнее отбеливание

В клинике для Вас изготовят индивидуальные каппы и дадут рекомендации по проведению отбеливающих процедур.

Система для домашнего отбеливания действует более мягко, чем для кабинетного, за счёт меньшей концентрации пероксида карбамида.


Таким методом возможно повысить белизну зубов от 1 до 4 тонов. Кроме того, мы рекомендуем данной системой поддерживать новый тон улыбки после кабинетного отбеливания с целью более длительного поддержания полученного результата.

Стоимость очистки, минерализации, отбеливания:

Наименование В стоимость лечения входит Цена
Профессиональная гигиена
фотофиксация состояния зубов, обработка десневых карманов ультразвуковым скаллером, обработка зубом минеразизующим кремом, фотофиксация после очистки

7500 - 13500 тг

Профессиональное отбеливание
на американском оборудование, BEYOND Polus являются на сегодняшний день самыми совершенными лампами для профессионального отбеливания зубов.

30000 тг

Рекомендации после процедуры отбеливания


После процедуры необходимо поддерживать «бесцветную диету» не менее 2 недель: исключение из рациона питания продуктов, содержащих в составе любые красители. К ним относятся:
  • кофе;
  • вино;
  • соки;
  • чай;
  • лимонады;
  • ягоды;
  • некоторые овощи (свекла, морковь, томат);
  • соусы.

После осветления эмали также рекомендовано поддерживать результат качественной гигиеной. Для этого следует сменить зубную пасту на средства с малым количеством агрессивных абразивов. В состав такой пасты должен входить фтор, чтобы поддерживать состояние зубов и предотвращать развитие гиперчувствительности.

ОТПРАВЛЯЯ ЛЮБУЮ ФОРМУ НА САЙТЕ, ВЫ СОГЛАШАЕТЕСЬ С ПОЛИТИКОЙ КОНФИДЕНЦИАЛЬНОСТИ